Background:
Autoimmune dyserythropoiesis is a rare disorder with only 4 adult cases and 3 paediatric cases reported in the literature. These suggest an underlying cause of haematological malignancy i.e. CLL or autoimmune disorder e.g. SLE1. Two proposed mechanisms of the pathophysiology include erythroblastic synartesis, or a Fas deficiency in autoimmune conditions2. There is no standard of care, however most cases respond to immunosuppression and/or treatment of the underlying condition. This is a report of 2 rare cases of severe autoimmune dyserythropoiesis without any underlying haematological or autoimmune conditions that have both responded to immunosuppression.
Methods:
Investigations included a haemolytic screen (LDH, bilirubin, haptoglobin, reticulocyte count and DAT), iron, B12 and folate studies, viral screening (EBV, CMV, HBV, HCV, HIV and parvovirus serologies and parvovirus PCR), autoimmune screen (ENA, ANA, RF, anti CCP, dsDNA, ANCA, C3/4), malignancy screen (EPG/IEPG and serum light chains, peripheral blood flow cytometry and imaging including CT CAP and/or PET scans). Bone marrow aspirate and trephine were performed with cytogenetics and molecular testing for myeloid mutations using NGS panels.
Results:
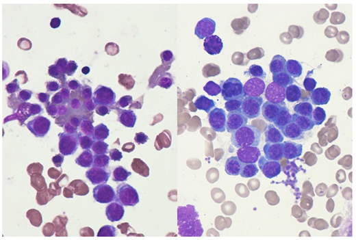
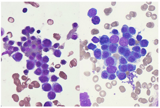
Case 1 is a 56-year-old female who initially presented in 2006 with fevers, weight loss, night sweats and an unexplained anaemia with a haemoglobin of 67g/L and MCV of 109 fl. WCC was 6.3 x10^9/L and platelet count 495 x 10^9/L. Clinical exam revealed no signs of haematological malignancy or autoimmune disease. Reticulocyte count was low at 7x10^9/L. ESR was significantly elevated at 130 mm/hr. Bone marrow biopsy was hypercellular with increased early erythroid precursors and some erythroid islands that resembled erythroblastic synartesis. Moderate dyserythropoiesis with numerous binucleate forms was also noted. The rest of her investigations were normal. She responded briskly to low dose prednisone (25mg daily) with resolution of her anaemia, reticulocytopaenia and inflammatory markers. She was transitioned onto azathioprine in 2011 as a steroid sparing agent which was ceased in 2018 due to a diagnosis of localised breast cancer. She remained in remission off immunosuppression for 18 months. Her relapse clinical findings and investigations were identical to her initial presentation. Her NGS testing at this time was negative for myeloid genetic mutations. She again responded briskly to prednisolone.
Case 2 is a 65-year-old female referred for a 4th opinion in May 2019 regarding transfusion dependent anaemia. Clinical exam revealed no signs of malignancy nor autoimmune disease. Haemoglobin averaged 60g/L with a low reticulocyte count at 11x10^9/L and elevated MCV of 117fL. Ferritin was elevated secondary to multiple prior transfusions at 1190 ug/L. ESR and CRP were elevated with an ANA titre of 1:80 (homogenous). Bone marrow was hypercellular with some minor dysplastic features and increased immature forms. Peripheral blood flow cytometry revealed a small monoclonal B cell population (0.1% of lymphocytes) that was not detected on bone marrow biopsy. The rest of her investigations were normal. She declined a trial of steroid therapy She was commenced on weekly IV rituximab 375mg/m2 for 3 weeks but was unable to tolerate mild infusion reactions and had no response. She was then treated with intravenous immunoglobulin as well as iron chelation therapy and her anaemia, reticulocytopaenia and inflammatory markers quickly resolved.
Discussion:
These are two rare cases of severe autoimmune dyserythropoiesis with reticulocytopaenia with no autoimmune haemolysis and no underlying autoimmune or malignant disease. Due to the rarity of this disease, there are no clear guidelines on how to manage these patients and more evidence/research is required. Both cases responded well to immunosuppressive treatment in a relapsing/remitting fashion that further reinforces the autoimmune nature of this disease.One patient did not respond to rituximab despite a small monoclonal B lymphocyte population unlike the only other case treated with rituximab reported where this was successful.
References:
1. Croisille L, Tchernia G, Casadevall N. Autoimmune disorders of erythropoiesis. Current Opinion in Haematology; 2001. p. 68-73
2. Cramer E, Garcia I, Masse J, Zini J, Lambin P, Oksenhendler E, et al. Erythroblastic Synartesis: An Auto-immune Dyserythropoiesis. Blood; 1994. p. 3683-93.
Joseph:Bayer Australia:Membership on an entity's Board of Directors or advisory committees;Novo Nordisk:Other: non financial support;Aspen Australia:Other: personal fees .Hamad:Novartis:Honoraria;Abbvie:Honoraria.
Author notes
Asterisk with author names denotes non-ASH members.
